CtiBiotech
Dermatocosmetics / Skin
Dermatocosmetics / Skin
CTIBIOTECH has strong partners in dermatology having developed key assays and technologies to evaluate skin cell responsiveness.
These include:
- skin related drugs
- macro cosmetics production
- components testing
- comparison of different ages of skin
- assessment of skin layers
- test of skin from different areas of the human body
- ultraviolet and wavelength effects
- babyskin models
- skin material analysis

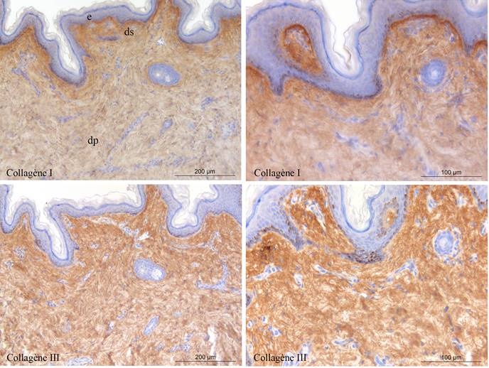
Collagen analysis
Production of skin-related cells and models for drug and cosmetics testing:
We produce from primary skin biopsies, specific models in the micro and macro scales to test components.
We also produce individual cell lines upon demand to specification.

Keratinocytes growing from primary biopsy
Age-related analyses:
We have in our biobank and through our core partners access to skin samples from age 0 through to 95 years old.

Child Skin analysis – Keratin
Production of 3-dimensional skin constructs:
CTIBIOTECH is able to create:
- totally artificial layered skin-derived cell models
- integrated primary-biopsy skin with specified cells and components
Harmonized neural-skin interface assays:
CTIBIOTECH has created tests to specifically analyse the neural-skin interface to model the effects of wound, burns, loss of feeling, reduction and regrowth of neural cells.
Production of Sebocyte and gland models:
CTIBIOTECH is rare in being able to create and grow human sebocyte models.

Sebocyte 3D model
Hair models:
In 2015 CTIBIOTECH successfully expanded it’s skin range to hair models. From individual follicles to bed-growth with complete bulb and glands.
In 2015 CTIBIOTECH successfully expanded it’s skin range to hair models. From individual follicles to bed-growth with complete bulb and glands.
CTIBIOTECH is proud to contribute to a reduction in the global animal testing and works in line wiht the European Directive 2010/63/EU of the European Parliament and of the Council of 22 September 2010 on the protection of animals used for scientific purposes.
